技术创新推动科技向善
破解医疗AI普及难点
首先,安全是腾讯觅影的第一核心优势,包括网络安全、数据安全。在网络安全方面,基于腾讯云DDoS防护、高级威胁检测系统、高级威胁追溯系统、威胁情报云查服务系统、样本智能分析平台、云端反病毒引擎等产品,为腾讯觅影提供专业、全面的网络威胁检测以及防护服务,帮助医疗用户获得合适的安全解决方案、发现潜在安全威胁、对威胁进行高效溯源分析和提升用户的安全防护能力。
在数据安全方面,腾讯觅影基于腾讯数盾安全产品体系,实现了数据流全面覆盖、数据系统深度对接、威胁精准抵御等能力,可助力行业解决云上数据安全治理问题,满足等保合规要求,提升数据隐私保护能力。同时,腾讯觅影相关研究数据采用物理隔离的方式存储于腾讯专业的人工智能机房,并与医院签订数据保密协议,以防数据泄露;医院脱敏图像进行加密传输,秒级完成AI运算,AI诊断意见辅助医生提高诊断效率。
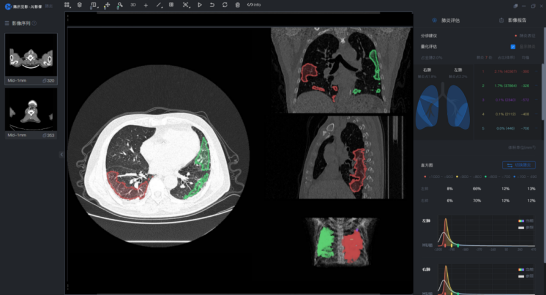
第二,AI影像平台可基于海量真实数据,从早期食道癌辅助筛查出发,从不同疾病种类切入并迅速开展AI影像产品创新。目前,在眼底视网膜病变、乳腺癌、结直肠癌、肺炎、肺结节、宫颈癌等病种领域已经建立了辅助筛查系统,帮助医生提高医学影像识读效率。
第三,腾讯智慧医疗云实现为医疗机构提供集 IaaS、PaaS 和 SaaS 为一体的综合云服务解决方案,具有高稳定性、统一管理、可视化运营等特点,完全按照国家等保三级认证要求建设,助力医疗机构构建稳定安全的云环境和健康的云生态。
第四,实现医院、医生、患者的有效连接。比如,患者通过微信小程序实现个人医学影像档案的管理,通过一部手机随时查看自己历史的医学影像检查报告和影像,并且针对报告中的疑问可向互联网医院的医生发起在线报告咨询。
第五,实现医疗影像数据弹性存储。影像业务数据量极大,而且数据压缩率较低,针对业务对关键数据的存储和读取需求,通过云平台的资源弹性伸缩能力,可解决峰谷效应造成的资源浪费,提升资源利用率,方便了数据的分析和处理,重点实现分布检查、集中阅片、统一存储、数据共享的业务模式,提供三维重建、智能阅片、远程阅片、移动阅片等服务。同时,避免了设备故障导致的数据丢失,也大大降低医院每年在影像存储、重复打印等胶片耗材的投入。
责任编辑: 腾讯觅影


粤公网安备 44030502009230号