1月13日,第一张CT从河北邢台南宫市唯一发热门诊——凤岗街道办事处社区卫生服务中心回传到武汉大学中南医院,医学影像科主任徐海波教授和团队医生们,很快就为这位69岁的大爷基本排除新冠肺炎感染,并向河北发回CT检查诊断报告,全过程不到半小时。
整体车载移动方舱CT犹如一座前哨站,医院派出一名“侦察兵”掌握前线战况,通过其搭载的5G+AI智能诊断系统,能把信息快速、准确地传回后方的“指挥部”,更能使影像检查设备与远程专家之间互联,实现影像及诊断报告跨地域自动传输,大幅提升了诊断准确率和效率,同时还可避免医疗资源浪费及感染风险。
▲ 中南医院医学影像科主任徐海波(右二)、
在后方大部队,中南医院医学影像科全体医技人员24小时轮流值班,确保每一例从河北前线发来的CT检查资料都能得到准确、及时的判断和回复。
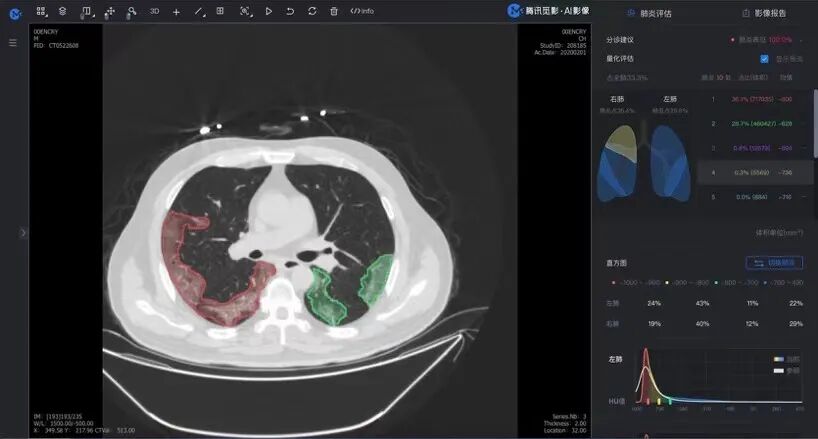
人工智能的智能辅助 则为医生诊断保驾护航,快速检出和判别疑似新冠肺炎,自动勾勒病灶,通过自动化的统计和直方图显示,为医生快速挑出需要重点审阅的疑点,第一时间进行准确的诊断。
责任编辑: 腾讯觅影


粤公网安备 44030502009230号